Kölner Zoll stellt Niederländer mit Kokain im Körper
Nordrhein-Westfalen - Regional - aktuelle Fakten und Einordnung
Drogenkriminalität am Flughafen Köln/Bonn
Köln () – Der Kölner Zoll hat am Flughafen Köln/Bonn einen niederländischen Reisenden mit Kokain im Magen festgenommen. Bei einer Kontrolle am 4. November am Fernbusbahnhof war ein 38-Jähriger aus Den Haag durch widersprüchliche Angaben, nervöses Verhalten und minimales Gepäck aufgefallen, wie das Hauptzollamt Köln mitteilte.
Ein Drogenwischtest an den Händen des Mannes schlug positiv auf Kokain an.
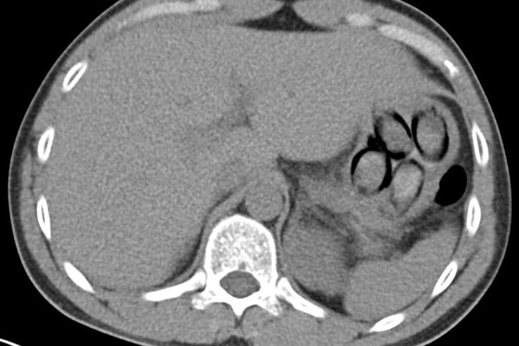
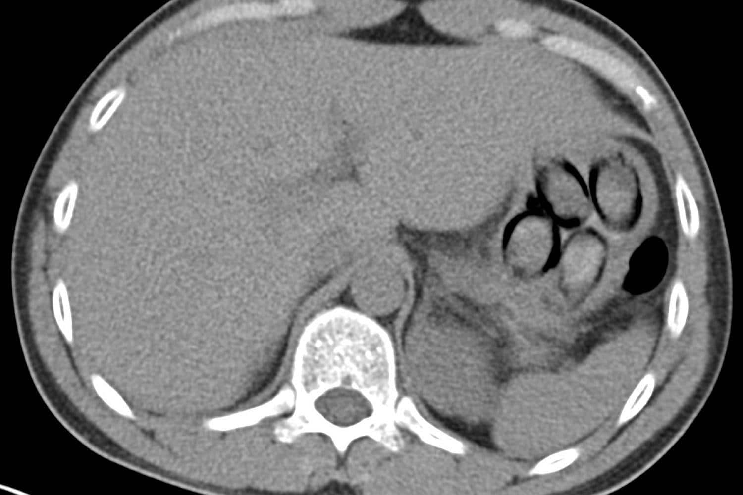
Eine Röntgenuntersuchung in einem Kölner Krankenhaus bestätigte den Verdacht: Im Magen des Niederländers waren mehrere Drogenpäckchen zu erkennen. Unter Überwachung schied der Mann anschließend sieben sogenannte Bodypacks mit insgesamt mehr als 100 Gramm Kokain aus.
Bereits in diesem Jahr hatte der Kölner Zoll mehrere Fälle von Körperschmuggel aufgeklärt.
Ein 50-jähriger Italiener stellte zu Jahresbeginn mit 1,3 Kilogramm Kokain im Körper einen traurigen Rekord auf. Vor wenigen Monaten schmuggelte zudem ein Mutter-Tochter-Gespann fast 140 Gramm Heroin in Kondomen verpackt im Zug.
Die weiteren Ermittlungen führt nun das Zollfahndungsamt Essen.
| Text-/Bildquelle: | Übermittelt durch www.dts-nachrichtenagentur.de |
| Bildhinweis: | Röntgenbild zeigt mehrere Kokainpäckchen im Magen des Niederländers (Archiv), Hauptzollamt Köln via |
Vier Bürgerfragen. Klare Antworten.
Welche neuen Fakten, Entscheidungen oder Änderungen nennt der Artikel?
- 38-jähriger Niederländer mit Kokain im Magen am Flughafen Köln/Bonn festgenommen
- Positiver Drogenwischtest auf Kokain
- Mann schied sieben Bodypacks mit über 100 Gramm Kokain aus
Wen betrifft es und wie stark (Zielgruppen, Regionen, Zahlen, Fristen)?
- betroffene Zielgruppe: niederländische Reisende
- betroffene Region: Flughafen Köln/Bonn
- relevante Zahlen: 7 Bodypacks, mehr als 100 Gramm Kokain, 1,3 Kilogramm Kokain (fälliger Rekord)
Welche Gründe, Ursachen, Hintergründe oder Auslöser werden genannt?
- Verdächtiges Verhalten des Reisenden (nervös, minimale Gepäckmenge)
- Positiver Drogenwischtest auf Kokain
- Vorangegangene Fälle von Körperschmuggel am Flughafen Köln/Bonn
Was machen die Politik bzw. die Behörden jetzt konkret?
- Festnahme eines niederländischen Reisenden am Flughafen Köln/Bonn
- Drogenuntersuchung und Röntgenuntersuchung durchgeführt
- Zollfahndungsamt Essen übernimmt weitere Ermittlungen
- Gießen: Zwei Männer nach Schüssen am Lindenplatz schwer verletzt - 4. Mai 2026
- Schwerer Unfall in Kerken: Autofahrer übersieht Radler - 4. Mai 2026
- Schwerer Motorradunfall auf der B30 bei Eberhardzell - 4. Mai 2026
